Contact Dr. B Smiles Orthodontics in Wappingers Falls

Looking for a friendly, experienced orthodontist in Wappingers Falls, NY? At Dr. B Smiles Orthodontics, we help children, teens, and adults achieve confident, healthy smiles with braces and clear aligner treatment. From your first visit, you’ll notice the difference: clear communication, personalized planning, and a team that treats your family with genuine care.

  • Over 20 Years of Experience: Dr. B brings decades of orthodontic expertise, focused on delivering dependable results and ensuring patient comfort.
  • Advanced Specialty Training: Completed a Master’s Degree and orthodontic certificate program for comprehensive orthodontic care.
  • Top Hudson Valley Recognition: Voted a Top Dentist of the Hudson Valley every year since 2007 for trusted care.
  • Community Leadership: Past President of the Dutchess County Dental Society with long-standing local involvement.
  • Patient-Focused Environment: Friendly, supportive visits designed to help kids, teens, and adults feel comfortable and confident.
  • Care for All Ages: Treatment options for children, teens, and adults with individualized plans built around goals and lifestyle.

Dr. B Smiles Orthodontics is located right in the heart of the community at 7 Moran Avenue. Our office is a friendly, modern space where we focus on making orthodontic care a comfortable experience for kids, teens, and adults throughout the 12590 area.

Finding us is very simple because we are situated just off U.S. Route 9, one of the main thoroughfares in the region. We are located near the corner of East Main Street and are just a short drive from local favorites like Wappingers Falls Junior High School and Roy C. Ketcham Senior High School. This central location makes it easy for parents to coordinate appointments around the school day or after-school activities.

Meet Our Orthodontist in Wappingers Falls, NY

Dr. Anthony V. Bonavoglia orthodontist portrait at Dr. B Smiles Orthodontics in Wappingers Falls, NY

Dr. Anthony V. Bonavoglia, DDS, MS

Dr. Anthony V. Bonavoglia, known to patients as Dr. B, is dedicated to creating confident, healthy smiles for families throughout the Hudson Valley. With advanced orthodontic specialty training and years of clinical experience, he combines precision treatment with a warm, approachable style that helps patients feel comfortable and supported throughout their orthodontic journey.

Dr. B earned his Doctor of Dental Surgery degree from SUNY Buffalo and completed his Master’s Degree and Certificate in Orthodontics at the University of Minnesota Dental School.

  • Master’s Degree and Certificate in Orthodontics
  • Voted Top Dentist of the Hudson Valley since 2007
  • Past President of the Dutchess County Dental Society
  • Active member of the American Association of Orthodontists
  • Recognized community leader and Guinness World Record event organizer

Trusted Training & Recognition

Board-certified orthodontist recognition at Dr. B Smiles Orthodontics in Wappingers Falls, NY

Board-Certified Orthodontist

Completed extensive specialty training and a voluntary certification process that reflects advanced knowledge, skill, and dedication to exceptional orthodontic care.

Top Dentist Hudson Valley recognition at Dr. B Smiles Orthodontics in Wappingers Falls, NY

Top Dentist Hudson Valley

Proudly recognized by Hudson Valley Magazine since 2007 for exceptional care, trusted results, and dedication to our patients.

What Financing and Insurance Options Do You Offer?

At Dr. B Smiles Orthodontics, we believe finances should never stand in the way of a confident, healthy smile. That’s why we provide clear, upfront pricing along with flexible payment options designed to fit your family’s budget and lifestyle. Treatment costs vary based on your needs, with options ranging from limited treatment and retainers to Invisalign and comprehensive orthodontic care.

We offer full payment discounts, no-interest financing with low down payments and monthly plans starting around $149.99 for qualifying patients, multi-family discounts, convenient automatic payment drafts, insurance claim assistance, CareCredit financing, and acceptance of FSA and HSA funds. Your treatment fee includes diagnostic records, appliances, routine and emergency visits, and one full set of retainers, with all costs reviewed during your complimentary consultation.

Happy family at Dr. B Smiles Orthodontics representing trusted orthodontic care for all ages in Wappingers Falls, NY

What Orthodontic Services Do You Offer?

We provide comprehensive orthodontic treatment for children, teens, and adults in Wappingers Falls and throughout the Hudson Valley.

Patient smiling with metal and ceramic braces treatment at Dr. B Smiles Orthodontics in Wappingers Falls, NY

Metal & Ceramic Braces

Reliable braces options using classic metal or tooth-colored ceramic brackets to guide teeth into healthy alignment.

Patient using Invisalign clear aligners at Dr. B Smiles Orthodontics in Wappingers Falls, NY

Invisalign Clear Aligners

Comfortable, removable clear aligners that discreetly straighten smiles for teens and adults with busy lifestyles.

Patient using Angel clear aligners at Dr. B Smiles Orthodontics in Wappingers Falls, NY

Angel Clear Aligners

Advanced clear aligner system designed to gently shift teeth while offering comfort, flexibility, and convenience.

Early orthodontic treatment for children at Dr. B Smiles Orthodontics in Wappingers Falls, NY

Early Orthodontics

Interceptive care that guides jaw growth, improves bite development, and reduces future orthodontic treatment complexity.

Teen orthodontic treatment for growing smiles at Dr. B Smiles Orthodontics in Wappingers Falls, NY

Teen Orthodontics

Customized orthodontic treatment designed around teen growth, confidence, school schedules, and active daily routines.

Adult orthodontic treatment for healthy confident smiles at Dr. B Smiles Orthodontics in Wappingers Falls, NY

Adult Orthodontics

Modern orthodontic solutions helping adults improve alignment, bite function, comfort, and overall smile confidence.

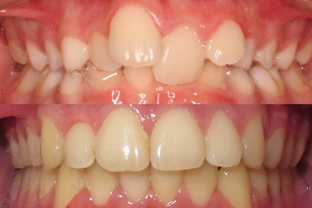
Before & After

See the Smile Transformations
Orthodontic treatment creates lasting improvements in both confidence and oral health. Explore real patient transformations achieved through braces and clear aligner therapy at Dr. B Smiles Orthodontics.

Read What Our Happy Patients Have to Say!

⭐️⭐️⭐️⭐️⭐️ I can’t recommend Dr. B Smiles 😊 enough! From the moment you walk in, you can immediately see how incredibly clean, organized, and sanitary the entire office is. Every detail is handled with professionalism, and you truly feel confident knowing you’re receiving care in such a spotless and welcoming environment. The level of service is absolutely top-notch—from convenient text message reminders and updates, to the smooth and efficient check-in process, to the attentive care you receive during and after every treatment. The staff is always kind, knowledgeable, and genuinely makes you feel comfortable every step of the way. It’s clear that everyone at Dr. B Smiles 😊 truly cares about their patients and goes above and beyond to make every visit a positive experience. If you’re looking for exceptional orthodontic care with outstanding customer service, I highly recommend Dr. B Smiles 😊 🦷 😬 🪥
Awesome and amazing service… highly recommend!
I had a wonderful experience with kind and caring people. I was made to feel very welcome throughout my visits. Dr. B and the staff truly took their time to ensure I felt comfortable and were very patient in answering all of my questions. Overall, it was a great experience marked by genuine kindness and helpfulness. I highly recommend this place if you're seeking high-quality, compassionate care.
Literally every single person is amazing!!! So glad I decided to go with dr b over the other places
Office is very clean with an incredibly nice staff. Nicole is always smiling and a pleasure to be around. So happy we chose to come here.
So far I’ve had 2/3 kids get braces at Dr. Smiles office and I would absolutely recommend them. The office staff are amazing and so are the results. My kids love their smiles. Thank you 😁
We knew our son needed braces and Dr. B was recommended to us by a friend of ours whose son has braces. We are so happy that we went to see him. Every step of the way from the initial consultation to getting the braces on to our ongoing visits, it has been nothing but a great experience for us. We can’t say enough good things about Dr. B. His bedside manner is top notch and he has an amazing ability to put any fears or concerns you or your child may have to rest by taking the time to explain things and makes sure you feel comfortable before starting a treatment plan. The rest of the staff is amazing and friendly as well! This is THE best place for orthodontic care and I highly recommend them.
I’ve been a patient at Dr. B Smiles for the past two years, and I can confidently say the experience has been outstanding from start to finish. Dr. B is a superb orthodontist—knowledgeable, precise, and clearly passionate about what he does. Throughout my treatment, he took the time to explain everything, made sure I was comfortable, and consistently delivered high-quality care. The results speak for themselves, and I couldn’t be happier. What really sets this office apart, though, is the team. Every staff member is professional, welcoming, and efficient, which makes every visit smooth and stress-free. A special shoutout to Nicole—she is truly amazing. She’s attentive, personable, and goes above and beyond to make you feel comfortable and taken care of. Her positive attitude and attention to detail make a big difference. It’s rare to find a place where both the doctor and the team operate at such a high level. If you’re considering orthodontic treatment, I highly recommend Dr. B Smiles. You’ll be in excellent hands.
Absolutely fantastic experience! Dr B and the staff are amazing, attentive and caring. Glad I decided to go through this experience even as an adult and see such amazing results. Do not hesitate and just do it.
There isn’t a single office like Dr B’s office!!! They are absolutely the BEST!!! Super patient and caring even when the patient may be a bit of a pain! Thank you Dr B and staff!
Went to Dr. B for basically 4 years!! Was a wonderful experience the entire time. No matter conflicts, reschedules, everything was accommodated! Very friendly staff and they all go the extra mile! Made my Invisalign experience painless and seamless all 4 years. If you need braces/Invisalign work look no further you will be happy to go with Dr. B!
This place is a “well oiled machine”
The staff at Doctor B Smiles are absolutely incredible. The kindness of each staff member, and the fun atmosphere of the building just make the braces experience as smooth and entertaining as it can be. The place is clean, staff are well trained, and Doctor B is a super cool dude. Whether it’s your first appointment, or your last, the staff make sure that you feel welcome and comfortable in your set of teeth. If you’re looking for an orthodontist, Doctor B is the absolute best option out there.
I can’t say enough great things about Dr. B and the entire team. The service was exceptional throughout my orthodontic journey. Dr. B is incredibly skilled, patient, and attentive, and the results truly exceeded my expectations. My teeth look amazing, and I feel so confident smiling now. I’m so happy I chose this office—highly recommend to anyone considering orthodontic treatment!
I had a great experience with Dr. B as my orthodontist. I personally did 18 months of Invisalign and every appointment was a smooth process. The staff are very nice and they/Dr B were always helpful and accommodating regarding any questions or concerns I had.
It was amazing! Everything went swimmingly. I enjoyed my time here, and the staff is so nice and kind. They work quickly and efficiently. My teeth have never looked better. Don’t be afraid or nervous to come. They will make you feel at home ❤️‍🩹
Dr B and his staff are amazing! My son loves coming here and choosing new colors for his bands.
Ive been going to Dr. B since 2022. He is very knowledgeable when I ask him questions. Hes also very professional. Also his staff is an incredible resource for there patients.
Dr. B Smiles has been wonderful for our family. Both of my kids needed orthodontic care, including braces and a palate expander, and the experience has been excellent from start to finish. Dr. B is knowledgeable, patient, and great with kids, taking the time to explain everything clearly. The staff is friendly, organized, and makes every visit smooth and stress-free. We’ve received great care and highly recommend this office to other families.
Very happy with the experience at Dr B. Smiles. Warm and comforting for a new braces patient! Would highly recommend!!
Dr. B and his team are always wonderful!
Dr.B has a lot of patience (even when he shouldn’t) I wasn’t very compliant with wearing my rubber bands and visit after visit he was patient, explained what needed to happen to get the best results. Time after time I didn’t wear them and he made adjustments to better suite what I would comply too. He’s a great guy and an outstanding orthodontist. I would trust this guy 100 times over again to do my teeth and make them look great. Thank you, Dr.B!
What a incredibly well run business. Everyone that works there is friendly and polite. I did invisalign in my mid thirties because I stopped wearing my old retainer years ago and my teeth shifted. They made the process of getting my teeth straight again painless. They're a bit pricey, but worth every penny in the long run. I couldnt recommend this crew enough!
Dr. B and his staff are amazing. My daughter just got her braces off, and she has an incredible smile and beautiful teeth. The entire team was professional, friendly, and supportive throughout the whole process. We’re so thankful for the great care and highly recommend this office to anyone considering orthodontic treatment.
Efficiently and friendly. Well done orthodontics and great relationship building with youth patients. Fun decore too!

Frequently Asked Questions

Choosing orthodontic care comes with important decisions. These answers help families understand what to expect throughout the process.

An orthodontic evaluation can identify bite concerns, crowding, spacing, or alignment issues that may benefit from treatment.

Your first visit includes photos, digital scans or X-rays if needed, and a personalized discussion about treatment options.

Clear aligners can effectively treat many alignment issues, depending on the complexity of your orthodontic needs.

Some mild pressure is normal at the beginning, but modern orthodontic techniques are designed for comfort.

Good brushing, flossing, and attending regular checkups help protect your teeth and ensure the best results.