Advanced Technology

Orthodontic treatment has evolved far beyond traditional braces alone. At Dr. B Smiles Orthodontics, Dr. Anthony V. Bonavoglia offers advanced orthodontic solutions designed to address complex alignment, bite, and jaw concerns with precision and efficiency.

Using modern techniques and digital planning, we can treat more complex cases while improving comfort and shortening treatment timelines whenever possible. Below are some advanced orthodontic options.

Palatal expander orthodontic appliance for bite and jaw correction at Dr. B Smiles Orthodontics in Wappingers Falls, NY

Advanced Orthodontic Appliances

Orthodontic appliances are specialized tools used to address bite and jaw concerns that braces or clear aligners alone may not fully correct. These appliances help guide tooth movement, create space, and improve jaw positioning, especially in growing patients. Because all appliances are made in our in-house lab, adjustments can be completed quickly and tailored precisely to your treatment needs.
Surgical orthodontic treatment for jaw alignment correction at Dr. B Smiles Orthodontics in Wappingers Falls, NY

Surgical Orthodontics

For patients with significant jaw discrepancies, surgical orthodontics may be recommended to improve both function and facial balance. This approach combines orthodontic treatment with corrective jaw surgery to address severe overbite, underbite, or jaw alignment issues. Orthodontic care is carefully coordinated before and after surgery to ensure stable, long term results.
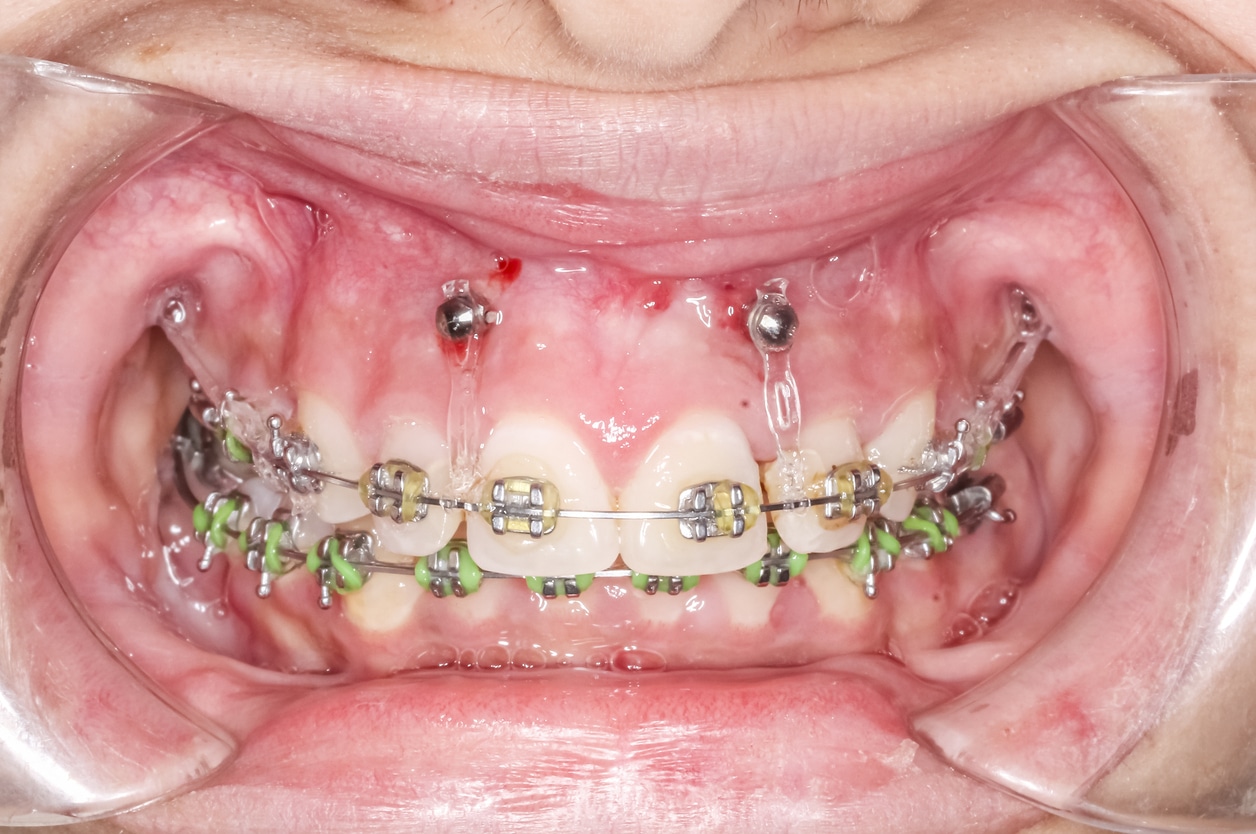
Temporary anchorage devices TADs used with braces for advanced tooth movement at Dr. B Smiles Orthodontics in Wappingers Falls, NY

Temporary Anchorage Devices (TADs)

Temporary Anchorage Devices, or TADs, are small anchors placed in the jawbone to provide additional support during orthodontic treatment. They allow for more controlled and efficient tooth movement in complex cases and can reduce the need for other appliances. TADs are temporary and are removed once the desired tooth movement has been achieved.
Grin home monitoring device for remote orthodontic check-ins at Dr. B Smiles Orthodontics in Wappingers Falls, NY

Grin Home Monitoring

Grin Remote Monitoring allows patients to complete orthodontic check-ins from the comfort of home while maintaining consistent progress throughout treatment. Using a secure smartphone app and guided scan process, Dr. B can monitor tooth movement between visits and make adjustments when needed. This technology improves convenience, reduces unnecessary office appointments, and helps ensure efficient, predictable results.

Is Advanced Orthodontic Treatment Right for You?

Not every patient requires advanced techniques, but for complex bite or jaw concerns, these options can significantly improve outcomes. During your orthodontist consultation, Dr. Bonavoglia will evaluate your alignment and recommend the most effective treatment approach for your smile.

If you are searching for an orthodontist near you in Wappingers Falls who offers modern and comprehensive care, schedule a consultation with Dr. B Smiles Orthodontics today.