At Dr. B Smiles Orthodontics, we offer braces, Invisalign, and Angel clear aligners using modern technology in a fun, welcoming environment. Your first consultation is complimentary, and we’ll make the process simple from day one.

Dr. B Smiles Orthodontics In Wappingers Falls, NY

If you are looking for an experienced orthodontist in Wappingers Falls, Dr. B Smiles Orthodontics provides braces and clear aligners for kids, teens, and adults throughout the Hudson Valley.

Anthony V. Bonavoglia, DDS, MS has been serving the community since 2007, helping thousands of patients improve their bite, alignment, and long-term oral health. At Dr. B Smiles Orthodontics, we combine modern digital technology with precise treatment planning to deliver predictable, long-term results. Using advanced imaging and customized orthodontic solutions, we treat crowding, spacing, overbite correction, underbite issues, and jaw alignment concerns for children, teens, and adults.

Our focus is simple: accurate diagnosis, efficient treatment timelines, and stable results that last.

Orthodontic Care for Children, Teens, and Adults

At Dr. B Smiles Orthodontics, we provide comprehensive orthodontic treatment for children, teens, and adults in Wappingers Falls, NY. From early Phase 1 care to braces and custom clear aligners, every treatment plan is designed to improve alignment, correct bite issues, and support long-term oral health. Our goal is simple: deliver efficient, personalized orthodontic solutions that create stable, confident smiles at every stage of life.

Advanced Orthodontic Solutions Designed In-House

What makes our Wappingers Falls orthodontic office different is our ability to design and control treatment from start to finish.

  • In-house aligners to help keep treatment costs lower
  • Full in-house lab where appliances are fabricated on site
  • Temporary Anchorage Devices (TADs) for complex tooth movement
  • Functional and orthopedic appliances for growing patients
  • Fixed bonded retainers are a long-term stability option not commonly offered in the area
  • In-house aligner planning for greater precision and control

By keeping treatment planning and appliance fabrication in-house, we improve accuracy, reduce delays, and maintain full quality control throughout your orthodontic journey.

Start Your Orthodontic Consultation in Wappingers Falls

Choosing the right orthodontist matters. Schedule your complimentary consultation to receive a detailed evaluation, a personalized treatment plan, and clear financial options tailored to you. Take the first step toward a healthier, more confident smile today by scheduling your free consultation.

Board-Trained. Patient-Focused.

Meet Dr. B

Dr. Bonavoglia is a dedicated orthodontist serving Wappingers Falls and nearby communities. He earned his dental degree from the State University of New York at Buffalo and completed his Master’s Degree and Certificate in Orthodontics at the University of Minnesota Dental School.

With years of specialized training focused entirely on orthodontics, Dr. B combines clinical precision with a thoughtful, patient-centered approach. He believes in clear communication, efficient treatment timelines, and long-term smile stability.

Trusted Training & Recognition

Board-Certified Orthodontist

Completed advanced specialty training and a rigorous certification process demonstrating clinical expertise, precise treatment planning, and commitment to exceptional orthodontic care.

Top Dentist Hudson Valley

Recognized by Hudson Valley Magazine for consistent clinical excellence, outstanding patient satisfaction, and an ongoing commitment to delivering exceptional orthodontic care.

Everything You Need for a Great Smile

Orthodontic Care Made Simple

Budget-Friendly Orthodontics

We make high-quality orthodontic care affordable for families in Wappingers Falls. Flexible payment plans, transparent pricing, and in-house aligner options help reduce overall costs while maintaining the clinical precision and long-term stability your smile deserves.

Advanced Technology

Our office uses digital scanning, detailed treatment planning software, and a full in-house lab to improve accuracy and efficiency. Designing appliances on-site allows greater control, faster adjustments, and a more streamlined orthodontic experience from start to finish.

Modern Braces Options

We offer metal braces, clear braces, and advanced mechanics to treat crowding, spacing, and complex bite issues. Each treatment plan is customized to improve alignment, protect jaw function, and create results that remain stable long after treatment ends.

Clear, Comfortable Aligners

Custom clear aligners are planned and monitored in-house for improved precision and efficiency. These removable trays gently guide teeth into alignment while allowing you to eat, brush, and floss normally throughout your orthodontic treatment.

Care You’ll Feel Confident Choosing

The Dr. B Smiles Difference

Choosing an orthodontist in Wappingers Falls is about more than straight teeth. It is about experience, precision, and long-term results you can trust. At Dr. B Smiles Orthodontics, we focus on customized treatment planning, advanced in-house technology, and a patient experience designed to make every step clear, comfortable, and efficient.

20+ Years of Trusted Local Care

With over two decades serving families in Wappingers Falls and the Hudson Valley, Dr. B delivers experienced orthodontic care focused on precision, stability, and long-term smile health.

Driven by Results

Every patient receives a detailed evaluation and customized orthodontic plan focused on proper bite alignment, facial balance, and long-term stability, not just straight teeth.

Comfort-Focused Care

Our modern approach includes digital scanning, efficient appointments, and carefully monitored progress to ensure treatment stays comfortable, organized, and predictable.

A Team That Truly Cares

Our friendly and experienced team creates a welcoming environment where patients feel informed, supported, and confident throughout every stage of orthodontic treatment.

Years of Experience
5 +
Smiles Celebrated
1000 +
Five-Star Reviews
50 +

Family-Friendly Orthodontics

Care for Kids, Teens, and Adults

At Dr. B Orthodontics, we provide personalized orthodontic treatment for every stage of life. From early evaluations for children to braces and clear aligners for teens and adults, our goal is to create healthy, confident smiles with modern, comfortable care.

Early Treatment

Early orthodontic evaluations around age seven allow us to monitor jaw growth, guide erupting teeth, and correct developing bite issues. Timely treatment can reduce complexity later and create a healthier foundation for a confident, properly aligned smile.

Teen Treatment

The teen years are ideal for orthodontic care because most permanent teeth are in place. We offer braces and clear aligners designed for active lifestyles, helping teens achieve straighter teeth, improved bite alignment, and long-term oral health.

Adult Treatment

Orthodontic treatment is never too late. We help adults improve alignment, bite function, and smile aesthetics using discreet options like ceramic braces and clear aligners, designed to fit busy professional and family lifestyles.

Inside Dr. B Smiles

A Fun, Feel-Good Orthodontic Experience

At Dr. B Smiles Orthodontics, we’ve created an orthodontic experience that feels relaxed, welcoming, and genuinely fun. Our Wappingers Falls office is known for its upbeat energy and personable team, the kind of place where patients often ask what we’re “pumping through the air conditioning” because everyone is always happy.

Fresh-Baked Cookies Daily

Our in-office cookie machine keeps the office warm and welcoming with fresh-baked cookies every day. It’s a small detail that makes every visit feel comfortable and memorable.

Light-Up Braces Off Cart

Finishing treatment is a big milestone. Our light-up candy cart turns braces removal into a fun celebration patients genuinely look forward to.

Fun, Positive Atmosphere

Our team is personable, upbeat, and truly happy to be here. Patients feel the positive energy from the moment they walk through the door.

Former Guinness World Record Holder

Dr. B led the World’s Largest Oral Hygiene Class, reflecting commitment to education, community involvement, and raising orthodontic standards.

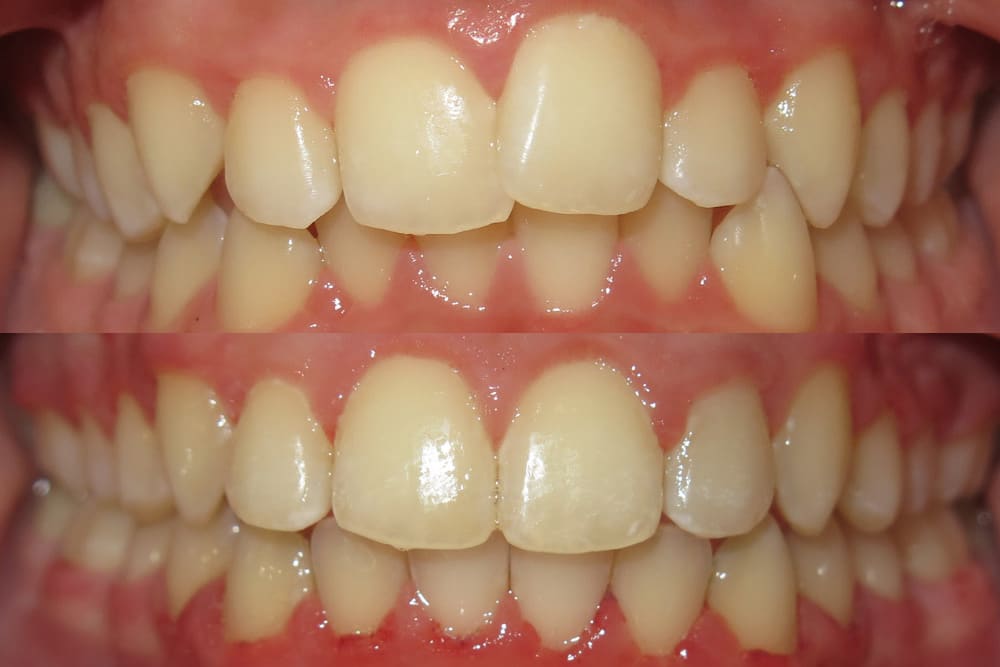
Before & After

Five-Star Smiles

Hear It Straight from Our Patients

We’re proud to be one of the highest-rated orthodontic practices in Wappingers Falls. Our patients consistently share five-star experiences, from their first consultation to their braces-off celebration.

So far I’ve had 2/3 kids get braces at Dr. Smiles office and I would absolutely recommend them. The office staff are amazing and so are the results. My kids love their smiles. Thank you 😁
We knew our son needed braces and Dr. B was recommended to us by a friend of ours whose son has braces. We are so happy that we went to see him. Every step of the way from the initial consultation to getting the braces on to our ongoing visits, it has been nothing but a great experience for us. We can’t say enough good things about Dr. B. His bedside manner is top notch and he has an amazing ability to put any fears or concerns you or your child may have to rest by taking the time to explain things and makes sure you feel comfortable before starting a treatment plan. The rest of the staff is amazing and friendly as well! This is THE best place for orthodontic care and I highly recommend them.
I’ve been a patient at Dr. B Smiles for the past two years, and I can confidently say the experience has been outstanding from start to finish.

Dr. B is a superb orthodontist—knowledgeable, precise, and clearly passionate about what he does. Throughout my treatment, he took the time to explain everything, made sure I was comfortable, and consistently delivered high-quality care. The results speak for themselves, and I couldn’t be happier.

What really sets this office apart, though, is the team. Every staff member is professional, welcoming, and efficient, which makes every visit smooth and stress-free. A special shoutout to Nicole—she is truly amazing. She’s attentive, personable, and goes above and beyond to make you feel comfortable and taken care of. Her positive attitude and attention to detail make a big difference.

It’s rare to find a place where both the doctor and the team operate at such a high level. If you’re considering orthodontic treatment, I highly recommend Dr. B Smiles. You’ll be in excellent hands.
Absolutely fantastic experience! Dr B and the staff are amazing, attentive and caring. Glad I decided to go through this experience even as an adult and see such amazing results. Do not hesitate and just do it.
There isn’t a single office like Dr B’s office!!! They are absolutely the BEST!!! Super patient and caring even when the patient may be a bit of a pain!
Thank you Dr B and staff!
Went to Dr. B for basically 4 years!! Was a wonderful experience the entire time. No matter conflicts, reschedules, everything was accommodated! Very friendly staff and they all go the extra mile! Made my Invisalign experience painless and seamless all 4 years. If you need braces/Invisalign work look no further you will be happy to go with Dr. B!
This place is a “well oiled machine”
The staff at Doctor B Smiles are absolutely incredible. The kindness of each staff member, and the fun atmosphere of the building just make the braces experience as smooth and entertaining as it can be. The place is clean, staff are well trained, and Doctor B is a super cool dude. Whether it’s your first appointment, or your last, the staff make sure that you feel welcome and comfortable in your set of teeth. If you’re looking for an orthodontist, Doctor B is the absolute best option out there.
I can’t say enough great things about Dr. B and the entire team. The service was exceptional throughout my orthodontic journey. Dr. B is incredibly skilled, patient, and attentive, and the results truly exceeded my expectations. My teeth look amazing, and I feel so confident smiling now. I’m so happy I chose this office—highly recommend to anyone considering orthodontic treatment!
I had a great experience with Dr. B as my orthodontist. I personally did 18 months of Invisalign and every appointment was a smooth process. The staff are very nice and they/Dr B were always helpful and accommodating regarding any questions or concerns I had.
It was amazing! Everything went swimmingly. I enjoyed my time here, and the staff is so nice and kind. They work quickly and efficiently. My teeth have never looked better. Don’t be afraid or nervous to come. They will make you feel at home ❤️‍🩹
Dr B and his staff are amazing! My son loves coming here and choosing new colors for his bands.
Ive been going to Dr. B since 2022. He is very knowledgeable when I ask him questions. Hes also very professional. Also his staff is an incredible resource for there patients.
Dr. B Smiles has been wonderful for our family. Both of my kids needed orthodontic care, including braces and a palate expander, and the experience has been excellent from start to finish. Dr. B is knowledgeable, patient, and great with kids, taking the time to explain everything clearly. The staff is friendly, organized, and makes every visit smooth and stress-free. We’ve received great care and highly recommend this office to other families.
Very happy with the experience at Dr B. Smiles. Warm and comforting for a new braces patient! Would highly recommend!!
Dr. B and his team are always wonderful!
Dr.B has a lot of patience (even when he shouldn’t)
I wasn’t very compliant with wearing my rubber bands and visit after visit he was patient, explained what needed to happen to get the best results.

Time after time I didn’t wear them and he made adjustments to better suite what I would comply too. He’s a great guy and an outstanding orthodontist. I would trust this guy 100 times over again to do my teeth and make them look great.

Thank you, Dr.B!
What a incredibly well run business. Everyone that works there is friendly and polite. I did invisalign in my mid thirties because I stopped wearing my old retainer years ago and my teeth shifted. They made the process of getting my teeth straight again painless. They're a bit pricey, but worth every penny in the long run. I couldnt recommend this crew enough!
Dr. B and his staff are amazing. My daughter just got her braces off, and she has an incredible smile and beautiful teeth. The entire team was professional, friendly, and supportive throughout the whole process. We’re so thankful for the great care and highly recommend this office to anyone considering orthodontic treatment.
Efficiently and friendly. Well done orthodontics and great relationship building with youth patients. Fun decore too!
Dr. B and his entire team are amazing! We thank you for everything!
The staff at Dr. B Smiles are so pleasant, professional and inviting.
The service is really good
Dr. B and his staff are amazing. My son actually looks forward to his visits. I could not be happier with choosing this practice for his orthodontic needs 😁
I did not feel any pain.

-Bryce Brown-Rohan